Entorse du pouce

L’entorse du pouce, fréquent traumatisme des doigts, nécessite un diagnostic précis et un traitement adapté pour éviter douleurs, complications et séquelles fonctionnelles à long terme.

L’entorse du pouce est une blessure fréquente, notamment lors des activités sportives ou des chutes. Elle concerne principalement les ligaments qui assurent la stabilité des articulations du pouce, en particulier l’articulation métacarpo-phalangienne (MP). Si certaines entorses sont bénignes, d’autres peuvent entraîner des complications sans prise en charge adaptée.

Identifier les symptômes, poser un diagnostic précis et appliquer le bon traitement sont essentiels pour éviter des séquelles durables.

Comprendre l'entorse du pouce

Les entorses du pouce regroupent toutes les lésions traumatiques des structures ligamentaires assurant la stabilisation des articulations du pouce. Celui-ci comprend trois articulations : la trapézo-métacarpienne, la métacarpo-phalangienne et l’interphalangienne. La plus souvent touchée est l’articulation métacarpo-phalangienne (MP).

Dans la majorité des cas, l’entorse concerne le ligament interne de cette articulation. Ce ligament stabilise le pouce et l’empêche de partir en valgus. Il s’agit de l’entorse du ligament latéral interne, fréquemment observée lors de traumatismes sportifs, notamment au ski.

Ces entorses sont fréquentes et souvent considérées comme bénignes. Cependant, un traitement de qualité est essentiel pour éviter les séquelles.

entorse mp pouce grave
Laxité importante d'une entorse grave de la MP du pouce

Les entorses des ligaments latéraux de la MP du pouce touchent surtout des patients jeunes et sportifs, en particulier les skieurs. Les conséquences peuvent être sérieuses. En cas d’entorse sévère, un traitement chirurgical est souvent nécessaire.

Ces entorses se présentent sous deux formes :

  1. Les entorses graves récentes (moins de 3 semaines)
    Elles concernent principalement le ligament collatéral médial (LCM), aussi appelé ligament latéral ulnaire. Elles surviennent lors de mécanismes en valgus-flexion. Plus rarement, le ligament radial est touché lors de traumatismes en varus-flexion, avec parfois une lésion de la capsule dorsale. Les ruptures importantes du LCM nécessitent souvent une chirurgie en raison de l’interposition de l’expansion de l’adducteur du pouce. En revanche, les ruptures du ligament collatéral latéral (LCL) sont généralement traitées par immobilisation orthopédique.
  2. Les instabilités chroniques
    Elles résultent souvent d’un traitement insuffisant d’une entorse récente. Une ligamentoplastie de stabilisation est alors indiquée. En cas d’arthrose ou de faible mobilité de la MP, notamment chez un travailleur de force, une arthrodèse peut être préférée.

Importance du pouce dans les mouvements de préhension et les gestes du quotidien

Le pouce est essentiel pour saisir des objets. Il intervient aussi bien dans les gestes de précision (tenir une aiguille, une pince à épiler, un stylo) que dans les gestes de force (manier un marteau, donner un coup de poing, porter une haltère ou une valise, fermer une porte).

Pour assurer ces fonctions, le pouce doit présenter une bonne stabilité articulaire. Il faut également une mobilité efficace en flexion-extension à chaque niveau articulaire. Cela permet d’ouvrir l’espace entre le pouce et l’index, ou de plier le pouce pour tenir un objet avec force ou précision.

test prehension pouce
Mouvement de préhension au quotidien

En cas d’entorse, la qualité de la pince est altérée. L’articulation devient instable ou lâche, ce qui diminue la force de serrage. Des douleurs apparaissent au niveau de l’articulation atteinte.

Ces signes cliniques, faciles à identifier, permettent de suspecter une entorse. Ils nécessitent des examens complémentaires, notamment des radiographies et un examen clinique précis, afin d’éliminer une fracture du pouce.

Cas particuliers des entorses de la plaque palmaire de la MP du pouce

Les entorses de la plaque palmaire touchent principalement l’articulation métacarpo-phalangienne (MCP) du pouce. Elles surviennent généralement lors d’un traumatisme en hyperextension, typiquement lorsque le pouce est violemment repoussé vers l’arrière.

La structure chargée de prévenir ce type de mouvement est un épaississement de la capsule articulaire antérieure, appelé plaque palmaire. Celle-ci est renforcée par différentes structures ligamentaires disposées de manière croisée ou longitudinale. Deux petits os, appelés os sésamoïdes, en forme de mini rotules, sont insérés dans cette plaque et participent à la stabilisation de l’articulation.

entorse plaque palmaire main gauche
Luxation de la MP du pouce responsable d'une rupture de la plaque palmaire

Lors d’un traumatisme, plusieurs lésions peuvent survenir selon la force exercée :

  • Une simple contusion,
  • Une distension ligamentaire,
  • Ou une rupture complète, avec parfois une avulsion de la plaque palmaire.

Le stade lésionnel permet de déterminer la gravité de l’entorse. Les formes bénignes peuvent être prises en charge par une immobilisation antalgique visant à limiter les mouvements d’hyperextension. Les formes plus sévères, en revanche, peuvent nécessiter une intervention chirurgicale pour réparer les structures lésées, suivie d’une immobilisation stricte pendant environ six semaines.

La récupération complète peut être longue, notamment dans les cas graves, et s’étendre sur une période de jusqu’à six mois. En l’absence de traitement adéquat initial, des laxités articulaires chroniques peuvent persister. Celles-ci sont parfois corrigées chirurgicalement si elles deviennent invalidantes.

Causes et facteurs de risque

La vulnérabilité de la colonne du pouce en cas de traumatisme

La colonne du pouce est particulièrement exposée lors de chutes ou de torsions de la main. Cette vulnérabilité s’explique par l’individualisation du pouce par rapport aux autres doigts et par son rôle majeur dans les mouvements de préhension et de serrage.

Ce type d’accident est fréquent lors des chutes à ski. Ces chutes, souvent violentes, impliquent une énergie cinétique importante et un réflexe de protection avec la main en avant. Le skieur tient généralement le bâton, ce qui aggrave le mécanisme.

L’impact direct du pouce sur la neige, ou la pression exercée via le bâton, entraîne un écartement forcé du pouce en abduction. Ce mouvement étire excessivement le ligament latéral interne (médial) de l’articulation métacarpo-phalangienne (MP), provoquant fréquemment sa rupture.

entorse pouce ski chute traumatisme

Plus rarement, le pouce subit un mouvement inverse, en adduction. Dans ce cas, c’est le plan ligamentaire externe (latéral) qui est lésé.

Les lésions du ligament interne sont plus fréquentes que celles du ligament externe. Cette différence s’explique par l’anatomie du pouce. Le ligament interne est en effet recouvert par l’expansion dorsale de l’adducteur du pouce. En cas de rupture avec un mouvement de valgus important, les extrémités du ligament rompu se placent de part et d’autre de cette expansion, appelée « dossière ». Celle-ci s’interpose entre les deux berges du ligament, empêchant ainsi toute cicatrisation spontanée.

Ces entorses, dites graves, nécessitent une prise en charge chirurgicale. L’intervention consiste à ouvrir la dossière de l’adducteur pour libérer l’interposition et rapprocher les deux extrémités du ligament afin de permettre leur cicatrisation.

Si ces entorses sont fréquentes au ski, elles peuvent également survenir lors de toute chute sur la colonne du pouce ou lors d’une torsion en valgus (abduction). Ce mécanisme est observé lors d’écartements forcés de la première commissure, notamment dans les sports de combat ou les sports de ballon, comme chez les gardiens de but.

Les facteurs de risque

Ces entorses ne concernent pas uniquement les skieurs. Elles peuvent survenir dans presque tous les sports en cas de chute sur la main, de torsion de la colonne du pouce ou d’impact direct. On les retrouve notamment au judo, dans les sports de combat, à vélo, à moto, au volley-ball ou chez les gardiens de but.

Le principal facteur de risque est lié au type de sport pratiqué et aux mécanismes traumatiques associés. Tout traumatisme pouvant provoquer une torsion de la colonne du pouce, au niveau de l’articulation métacarpo-phalangienne (MP), expose à ce type de lésion.

entorse pouce skieur suite chute

Les mécanismes à risque sont principalement :

  • Les chocs dans l’axe : par exemple, un ballon frappant un doigt tendu ou un impact direct lors d’une chute.
  • Les inclinaisons latérales du pouce : comme une torsion dans un sport de combat, une chute avec réception sur la main provoquant un écartement du pouce, ou encore un mouvement forcé causé par un ballon ou un adversaire.

Types d’entorses du pouce

Les différents degrés d’entorses

Les entorses de l’articulation métacarpo-phalangienne (MP) du pouce sont classées en quatre stades selon leur gravité. Cette classification s’applique aussi bien au ligament latéral interne (LLI) — également appelé ligament latéral ulnaire (LLU) ou ligament collatéral médial (LCM) — qu’au ligament latéral externe (LLE), aussi nommé ligament latéral radial (LLR) ou ligament collatéral latéral (LCL).

Stade 1 : Entorse bénigne

Cette forme correspond à une simple contusion du complexe capsulo-ligamentaire stabilisant l’articulation MP. On parle souvent de foulure du doigt.

  • Symptôme principal : douleur au pouce, avec gonflement de l’articulation.
  • La structure ligamentaire reste intacte, sans déchirure.
  • Face à ce type d’entorse, un bandage adapté ou une attelle de repos disponible en pharmacie est recommandé. L’attelle maintient le pouce en position de protection.
  • Traitement : immobilisation à visée antalgique, généralement de courte durée.

entorse pouce volley sport ballon
Les entorses du pouce fréquentes dans les sports de ballon
Stade 2 : Entorse de gravité moyenne

Il s’agit d’un étirement du ligament avec début de laxité.

  • Symptôme principal : bâillement articulaire détecté lors d’un test manuel, avec une ouverture d’environ 10° par rapport au côté sain.
  • Traitement : immobilisation stricte pendant environ 6 semaines. Ce délai permet au ligament de cicatriser et de retrouver sa tension normale.
entorse pouce ligament
Radiographie d'une laxité modérée en valgus de la MP du pouce
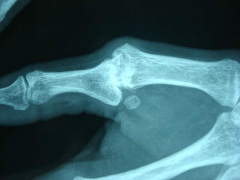
Stade 3 : Entorse grave

Stade 3 : Entorse grave
Ce stade correspond à une laxité importante, avec un risque élevé de complications.

  • Possibilité d’apparition d’un effet Stener : interposition de tissus (souvent l’expansion de l’adducteur) empêchant la cicatrisation du ligament.
  • Traitement : intervention chirurgicale nécessaire pour repositionner correctement le ligament et permettre sa cicatrisation.
  • La durée d’immobilisation post-opératoire est similaire à celle du stade 2, soit environ 6 semaines.
entorse grave au pouce gauche
Inclinaison à 90° au testing de la MP du pouce caractérisant une forme grave

Lésion spécifique du ligament collatéral ulnaire

La compréhension de cette lésion nécessite un rappel anatomique rapide. L’articulation métacarpo-phalangienne (MP) du pouce est stabilisée, dans le plan frontal, par deux ligaments : le ligament latéral radial et le ligament latéral cubital (ou ulnaire). Chaque ligament possède deux faisceaux :

  • Le faisceau principal : ligament solide reliant la tête du premier métacarpien (M1) à la base de la première phalange (P1). Il est tendu en flexion et relâché en extension.
  • Le faisceau accessoire (ou ligament métacarpo-sésamoïdien) : tendu en extension et relâché en flexion.

Cette organisation explique pourquoi la rupture survient lors d’un mouvement forcé latéral, lorsque le faisceau principal est déjà en tension par la flexion de l’articulation.

entorse ligament collatéral ulnaire pouce

C’est le mécanisme typique des accidents de ski. L’entorse se produit soit par traction de la dragonne du bâton, soit lors d’une chute avec écartement forcé de la première commissure, provoqué par la neige ou le bâton. Les snowboarders peuvent également être touchés, ce qui montre que le bâton et la dragonne ne sont pas les seuls facteurs en cause.

Une intervention chirurgicale est souvent nécessaire en cas de rupture récente du LCM. Les entorses isolées du ligament collatéral ulnaire, quant à elles, peuvent généralement être prises en charge par traitement orthopédique.

Symptômes et diagnostic

Les symptômes

L’aspect du pouce est généralement assez caractéristique, souvent douloureux, avec un gonflement (surtout au niveau de l’articulation MP) et parfois une ecchymose (aspect bleuté) sur le bord interne (du côté regardant vers le cinquième doigt) de l’articulation MP. Le pouce est douloureux à la mobilisation active (quand on mobilise seul son doigt) ou passive (quand on bouge en s’aidant de l’autre main), et la mobilisation est souvent impossible car trop douloureuse. 

Parfois, le pouce est désaxé lorsqu’on observe sa face dorsale, avec un aspect angulé (en valgus), le doigt s’écartant de la main et se positionnant parfois en légère flexion (avec une perte de l’extension complète).

test de la bouteille pour entorse du pouce
Test de la bouteille bien réalisé

Le test de la bouteille est intéressant : dans les formes graves, le patient est incapable de serrer une bouteille d’un litre pleine dans la main.

L’interrogatoire permet de retracer un mécanisme de torsion, de choc ou de chute caractéristique ayant provoqué une désaxation brutale de l’articulation MP, voire parfois une luxation réduite spontanément ou par le patient lui-même, ou par son entourage en tractant le pouce (ce qu’il faut éviter, car cela peut aggraver la situation si la technique spécifique n’est pas respectée).

L’examen clinique

Il doit être pratiqué par un spécialiste, car le testing est important pour apprécier l’importance et donc la gravité de l’entorse, ce qui va décider du traitement à entreprendre et définir si celui-ci doit être chirurgical.

Le premier examen est cependant réalisé par le médecin vu en urgence ou en consultation effectuée dans la semaine. Cet examen permet de poser le diagnostic d’entorse et d’adresser le patient au spécialiste pour effectuer le testing adapté (chirurgien orthopédiste habitué à l’examen de la main), car les conditions de réalisation sont spécifiques et un peu douloureuses (parfois même réalisées sous anesthésie locale). L’appréciation de la gravité est déterminante pour poser le diagnostic précis, dont découle le traitement, sa durée et l’indication chirurgicale éventuelle.

La radiographie reste nécessaire pour rechercher une fracture, un bâillement articulaire ou une interposition articulaire. La radiographie avec mobilisation articulaire en position de stress (de réalisation difficile et exigeante, et donc rarement faite) permet de confirmer l’importance de la laxité en cas de doute.

L’échographie et l’IRM sont des examens efficaces pour apprécier la sévérité de l’atteinte et confirmer une lésion de Stener.

consultation entorse testing laxite pouce
Testing de la laxité du plan interne fait en demi-flexion

Les radios pour entorse du pouce

Le bilan radiologique doit inclure :

  • Des radiographies standards : elles permettent de distinguer une entorse d’une fracture du pouce. Sur le cliché de face, on peut parfois observer un arrachement osseux à l’insertion phalangienne du ligament. Dans ce cas, les clichés dynamiques sont contre-indiqués.
  • Des radiographies dynamiques (optionnelles) : difficiles à réaliser, elles sont rarement pratiquées. Si nécessaire, elles doivent être effectuées sur une articulation MP demi-fléchie, posée dos-plaque.

En cas d’entorse du LCM, l’examen se fait en abduction ; en cas d’entorse du LCL, en adduction. Une laxité supérieure d’au moins 30° par rapport au côté sain signe une entorse grave.

Comment soigner une entorse du pouce

Traitements pour les entorses légères ou modérées

Pour les entorses légères, l’objectif principal est de soulager la douleur.
Le glaçage immédiat limite l’hématome et l’inflammation. Ensuite, l’application de froid ou de chaud aide à apaiser l’inflammation installée.

Un strapping ou une petite attelle est recommandé pour limiter les mouvements du pouce. Il est également conseillé de réduire les gestes de préhension.
Le traitement se poursuit jusqu’à la disparition des douleurs.
Des antalgiques et anti-inflammatoires (en pommade ou par voie orale) peuvent être utilisés.

strapping pouce entorse
Strapping d'une entorse du pouce pour un volleyeur professionnel

Pour les entorses modérées, il faut immobiliser l’articulation pour permettre la cicatrisation ligamentaire. Une attelle ou une orthèse sur mesure bloquant la métacarpo-phalangienne (MP) est préférable à un simple strapping.
L’immobilisation dure environ 6 semaines, suivie d’une reprise progressive des mouvements, notamment en flexion-extension et en préhension.

Traitements pour les entorses de moyenne gravité

Pour les entorses du pouce de moyenne gravité, le traitement orthopédique est possible mais se discute en fonction de la laxité. Pour les formes les plus distendues, un recours à la chirurgie est souvent nécessaire. L’objectif est d’assurer une bonne rétention du ligament rompu.

Le traitement orthopédique nécessite une immobilistion stricte de la mp du pouce dans une attelle rigide pour 6 semaines, laissant l’ip du pouce libre.

En cas de décision chirurgicale, l’intervention se pratique en ambulatoire, sous anesthésie loco-régionale. Elle consiste à ouvrir la dossière pour libérer le ligament rompu, en prenant soin d’éviter les branches nerveuses sensitives superficielles présentes dans cette zone. Les deux berges du ligament sont rapprochées et suturées. En cas d’arrachement osseux, la portion proximale du ligament est réinsérée sur l’os à l’aide d’une petite ancre.

Après l’intervention, une attelle de protection est portée pendant 6 semaines. Pendant cette période, des exercices réguliers de flexion-extension sont réalisés, sans mouvements de préhension ni sollicitation latérale lorsque l’attelle est retirée temporairement. 

attelle entorse du pouce droit
Attelle d'immobilisation pour une entorse de moyenne gravité
À l’ablation de l’attelle, une rééducation plus intensive est engagée. Elle vise à restaurer la souplesse en flexion-extension, ainsi que la force de préhension et d’opposition (pince pouce-index).

Options pour les entorses graves

Pour les entorses graves, le traitement chirurgical devient logique pour permettre la meilleure rétention possible du ligament rompu et même indispensable en cas d’interposition (effet Stener) limitant les possibilités de cicatrisation de la structure ligamentaire lésée. La chirurgie se fait en ambulatoire sous simple anesthésie loco-régionale et consiste à ouvrir la dossière pour libérer le ligament rompu (en prenant soin des branches nerveuses sensitives superficielles situées dans cette zone) et permettre de rapprocher les deux berges pour les suturer ou réinsérer la portion proximale du ligament directement sur l’os grâce à une petite ancre si la désinsertion s’est faite par arrachement de l’insertion ligamentaire sur l’os.
operation entorse pouce grave
Rupture capsulaire interne avec effet Stener d'une entorse grave opérée

Cette réparation est suivie d’une attelle de protection pour six semaines qui ne dispense pas d’un assouplissement de la MP dans l’axe de flexion-extension, réalisé de façon régulière et intermittente sans mouvements de préhension ou de sollicitations latérales (hors attelle).

Puis, à l’ablation de l’attelle, une rééducation plus intensive est nécessaire pour récupérer toute la souplesse en flexion-extension ainsi que toute la force de préhension et d’opposition (pince pouce-index).

Rééducation et exercices de renforcement

La rééducation et les exercices de renforcement débutent uniquement après une cicatrisation complète, soit au-delà de la 6e semaine post-traumatique.

Ces exercices ont pour but de limiter l’enraidissement secondaire à l’immobilisation prolongée. Ils ne permettent pas de renforcer un ligament mal cicatrisé ou insuffisamment réparé.

En cas de laxité résiduelle, une reprise chirurgicale peut être envisagée. Elle vise à restaurer une tension ligamentaire optimale, indispensable pour retrouver une bonne force de préhension.

Temps de récupération et complications

Durée de récupération selon la gravité de l'entorse

Le temps de cicatrisation d’un ligament lésé au pouce est généralement de six semaines. Cependant, cette période ne correspond pas toujours à la disparition totale de la douleur.

Pour les entorses légères, la récupération est en principe rapide. Les douleurs peuvent durer de quelques jours à quelques semaines. Passé six semaines, il est recommandé de réutiliser le pouce normalement afin d’éviter l’enraidissement.

Pour les entorses de gravité moyenne ou grave, la cicatrisation ligamentaire s’achève également après six semaines. C’est à ce moment que débute une rééducation complète. Elle vise à restaurer la souplesse articulaire et à prévenir la raideur séquellaire.
Toutefois, des douleurs peuvent persister plusieurs mois, parfois jusqu’à six mois, avant de disparaître complètement.

Complications possibles

Une immobilisation insuffisante ou l’absence de réparation en cas d’entorse grave peut entraîner une laxité résiduelle. Cette instabilité gêne fortement la préhension. Elle réduit la force de la pince pouce-index et diminue la puissance de la prise en main pleine.

La raideur articulaire est une autre complication fréquente après immobilisation. Si l’assouplissement n’est pas suffisant, les tissus contus peuvent cicatriser en se rétractant, perdant ainsi leur élasticité. La récupération nécessite alors des exercices réguliers, voire des séances de kinésithérapie.

radiographie arthrose suite entorse non traitee chirurgicalement
Arthrose sévère conséquence d'une laxité chronique sur entorse mal traitée

Enfin, des douleurs chroniques peuvent apparaître, comme pour toute cicatrice. Elles sont plus fréquentes lorsque le traitement initial a été mal conduit. Une laxité persistante ou une raideur articulaire sont souvent à l’origine de ces douleurs prolongées, en raison de l’instabilité ou du manque de mobilité.

Prévention et conseils

Mesures de prévention pour éviter l’entorse

Il n’existe pas de véritable méthode de prévention contre l’entorse du pouce, si ce n’est d’éviter le traumatisme.
Le port d’équipements de protection peut toutefois limiter l’impact. Il s’agit, par exemple, de coques de protection sur les bâtons de ski (slalom), sur les poignées de moto, ou de gants coqués pour absorber les chocs.

La suppression des dragonnes de bâtons de ski, autrefois accusées de favoriser ces entorses, a été testée. Cependant, cette mesure a entraîné des accidents plus graves par empalement. Elle a donc été abandonnée.

L'importance de consulter rapidement

Après un traumatisme du pouce, il est essentiel de consulter rapidement un spécialiste.
Un avis médical permet de décider d’une éventuelle intervention chirurgicale ou de mettre en place une immobilisation adaptée.

Cette prise en charge précoce améliore le confort du patient et favorise une meilleure cicatrisation.
Les réparations tardives donnent souvent des résultats moins satisfaisants.

Cependant, en l’absence de plaie ou de luxation non réduite, la consultation peut être différée de quelques jours, jusqu’à 15 jours si nécessaire.

consultation pour entorse pouce paris
Fracture à dépister de la zone d'insertion du ligament externe sur P1

Arrêt de travail et maladie professionnelle

La durée d’arrêt de travail dépend de la gravité de l’entorse du pouce et de l’activité professionnelle. En cas de forme grave nécessitant une immobilisation de 6 semaines, l’arrêt sera équivalent, voire prolongé d’un mois supplémentaire si une rééducation est nécessaire pour retrouver la souplesse et l’absence de douleur, notamment pour les métiers manuels

Reconnaissance en maladie professionnelle

Cette pathologie ne peut pas être prise en charge en maladie professionnelle, car elle correspond à un accident et, à ce titre, peut être déclarée comme accident de travail si la lésion survient dans ce cadre bien défini.

Reprise du travail et aménagements

La reprise peut être aménagée selon l’activité exercée.
Un mi-temps thérapeutique est envisageable si la souplesse ou l’absence de douleur ne sont pas suffisantes pour un travail manuel soutenu.

Dans la plupart des cas, un simple strapping assure une protection suffisante. Il permet de reprendre une utilisation adaptée du pouce, même avant la récupération complète.

entorse skieur reprise activite sport