Entorse du poignet

L’entorse du poignet regroupe des lésions ligamentaires de gravité variable. Un diagnostic précis et une prise en charge adaptée sont essentiels pour éviter les complications et assurer une bonne récupération.

L’entorse du poignet désigne une atteinte des ligaments, allant de la simple contusion à la rupture sévère. Un diagnostic rapide est essentiel pour adapter le traitement, qui peut varier d’une simple immobilisation à une chirurgie.

Sans prise en charge adéquate, des complications comme l’instabilité chronique ou l’arthrose peuvent survenir. La prévention repose sur la prudence dans les activités à risque. La durée d’arrêt de travail dépend de la gravité de la lésion et du type d’intervention nécessaire.

En quoi consiste une entorse du poignet ?

Les entorses du poignet regroupent toutes les lésions ligamentaires pouvant toucher :

  • Un ligament intracarpien,
  • Les ligaments reliant les deux os de l’avant-bras au carpe,
  • Ou ceux réunissant le carpe aux métacarpiens.

Elles désignent donc un ensemble très large de lésions possibles, dont la gravité varie fortement. Certaines formes sont relativement simples, avec un pronostic favorable. D’autres, en revanche, sont très graves et peuvent compromettre définitivement la fonction du poignet. Leur traitement peut alors devenir complexe, avec un pronostic réservé.

radio entorse luxation premiere rangee os carpe
Dislocation complète du carpe avec luxation de la première rangée avec rupture ligamentaire

Les lésions ligamentaires les plus sévères sont intracarpiennes. Elles nécessitent parfois des chirurgies longues et entraînent des raideurs importantes. Lorsqu’elles sont négligées, ces lésions peuvent évoluer vers des arthroses sévères du poignet.

Le terme « entorse » reste donc trop vague et imprécis. Il impose une classification plus détaillée pour identifier précisément les structures ligamentaires concernées et la sévérité des lésions. En cas de suspicion d’entorse, il est essentiel de rester très prudent. Il ne faut pas hésiter à réaliser des examens complémentaires, parfois contraignants, mais indispensables pour évaluer avec certitude la gravité de l’atteinte.

Ces entorses concernent souvent des patients jeunes. Ils présentent plus fréquemment des lésions ligamentaires que des fractures. À l’inverse, les patients plus âgés auront tendance à souffrir de fractures pour des traumatismes équivalents, en raison de la fragilité osseuse. Cependant, ces lésions ligamentaires peuvent survenir à tout âge. Elles sont parfois associées à des fractures. Le diagnostic est donc souvent difficile, mal posé ou ignoré. Cela justifie de consulter un spécialiste dès la moindre suspicion.

L’examen clinique et l’expérience du praticien sont essentiels. Ils permettent de déterminer quels patients nécessitent des investigations complémentaires. Ces dernières, souvent lourdes, doivent être engagées après un avis pertinent.

Importance du poignet dans les gestes du quotidien et les activités professionnelles

Le rôle du poignet dans la vie quotidienne et professionnelle est évident. L’utilisation optimale de la main et des doigts nécessite un poignet stable, solide, mobile et indolore.

Cette stabilité et cette mobilité sont assurées par de nombreuses pièces osseuses, assemblées entre elles par des ligaments puissants. Ces ligaments doivent être à la fois solides et suffisamment élastiques pour permettre le mouvement.

Le carpe constitue l’ensemble des os intermédiaires entre l’avant-bras et les métacarpiens, prolongés par les doigts. Il permet d’orienter la main dans toutes les directions. Il offre également puissance et stabilité, indispensables pour réaliser des gestes à la fois précis, souples et forts.

L’anatomie du poignet est d’une grande complexité. Cela tient à la forme des os et à la multitude des ligaments stabilisateurs. Lors d’un traumatisme (par traction excessive ou impact), ces ligaments peuvent se rompre. Ces lésions ne sont pas visibles sur les radiographies standards, qui ne montrent que les os.

L’importance du poignet dans la vie quotidienne justifie une extrême prudence en cas de traumatisme, même bénin en apparence. Ignorer une lésion ligamentaire pourrait avoir des conséquences évolutives sévères.

Causes et facteurs de risque

Causes fréquentes de l’entorse du poignet

Les entorses du poignet sont généralement causées par des traumatismes. Il peut s’agir d’accidents sportifs ou d’une simple chute de sa propre hauteur, sur la paume ou le dos de la main. Ces situations sont très fréquentes, voire inévitables au cours d’une vie. Personne ne peut prétendre ne jamais être tombé sur la main lors d’une chute banale.

Lors de l’impact, la force générée par le poids du corps et la vitesse de chute (énergie cinétique) suffit à provoquer une lésion ligamentaire, parfois sévère. La sensation de claquement ou de craquements audibles, associée à un gonflement du poignet et à des douleurs, doit faire envisager une atteinte ligamentaire. Dans ce cas, un avis médical spécialisé est indispensable.

Certains sports augmentent le risque en raison de la fréquence et de la violence des chutes. Le ski, les sports de ballon, les sports de combat, le vélo, le roller ou encore la trottinette sont particulièrement concernés.

En dehors des chutes, des mouvements forcés peuvent aussi être en cause. Les fortes torsions, les flexions dorsales ou palmaires excessives peuvent entraîner une entorse. Ces mécanismes surviennent lors de la manipulation ou de la réception d’objets lourds, ou encore lors du blocage d’outils rotatifs. Ils peuvent également apparaître lors d’une torsion articulaire, comme les clés de bras en sports de combat.

chute velo entorse poignet

Les facteurs de risque

Les facteurs de risque sont liés à une mauvaise réception lors d’une chute. Par exemple, au judo, on apprend à effectuer une roulade avant ou arrière pour éviter de tomber sur les paumes des mains. Cette technique permet de protéger les membres supérieurs en esquivant l’impact.

Cependant, ce réflexe n’est pas naturel. En général, lors d’une chute, le premier geste instinctif est de se rattraper avec les mains. Le port de gants ou d’attelles peut limiter l’impact, sans toutefois le supprimer totalement.

Le poids du patient et un manque d’agilité augmentent la violence de l’impact lors d’une chute. À l’inverse, une fragilité osseuse favorise plutôt la fracture, ce qui réduit le risque de lésion ligamentaire. En effet, les contraintes du traumatisme sont alors absorbées par l’os fracturé.

C’est pourquoi les lésions ligamentaires du poignet sont plus fréquentes chez les adultes jeunes, tandis que les personnes âgées présentent davantage de fractures.

entorse du poignet gauche cause chute gymnastique

Les différentes entorses du poignet

Classification selon la gravité

La classification des entorses du poignet prend en compte deux éléments :

  • La structure ligamentaire concernée et son rôle dans la fonction du poignet.
  • L’importance de la lésion : simple contusion, élongation, ou rupture partielle/totale.

Une simple contusion peut guérir avec du repos et une immobilisation temporaire. En revanche, une rupture complète du ligament nécessite souvent une réparation chirurgicale.

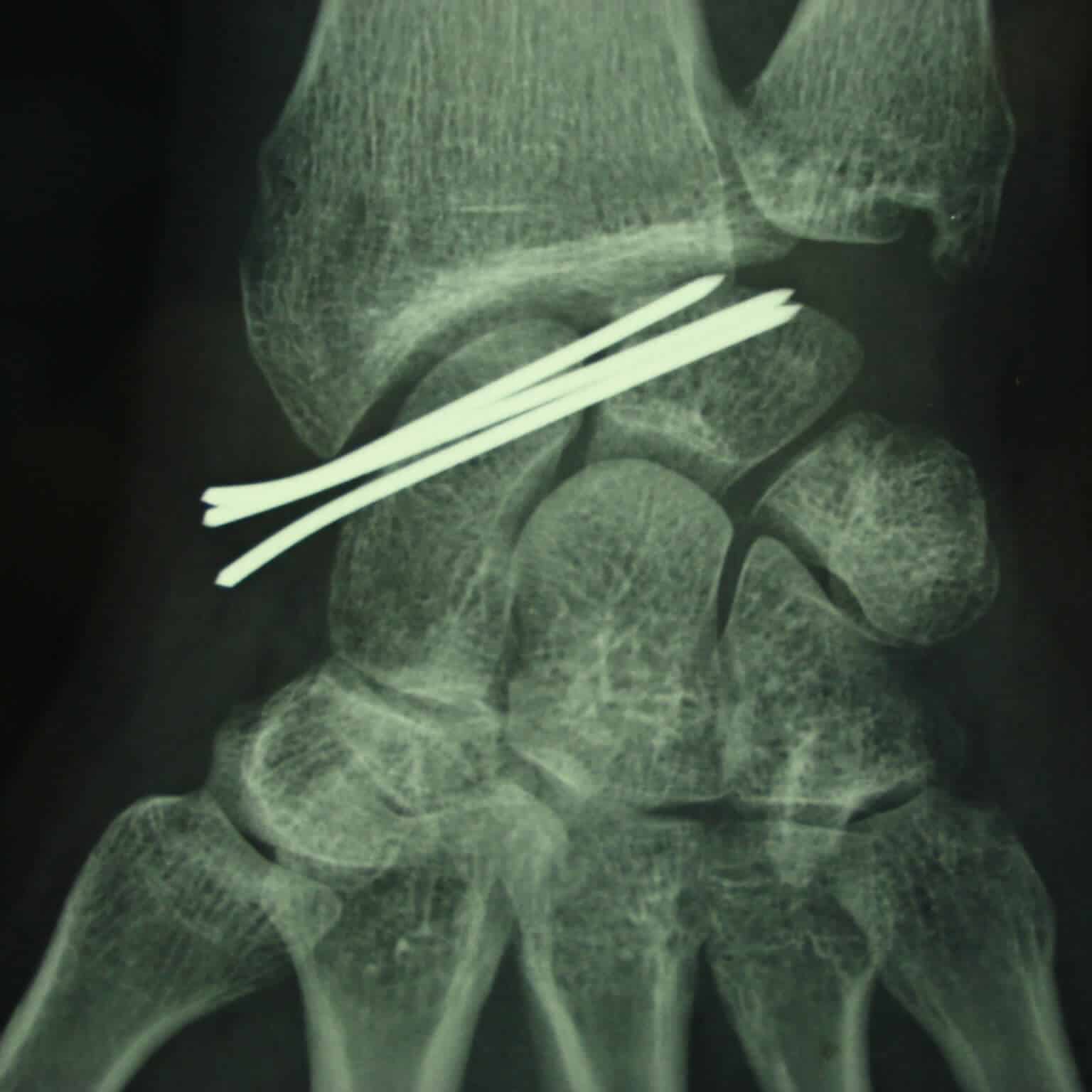
entorse grave ligament poignet operation
Opération d'une forme grave d'entorse au poignet avec lésions ligamentaires multiples

L’élément clé à évaluer n’est pas seulement la lésion, mais surtout la dysfonction qu’elle entraîne. Une rupture partielle peut parfois laisser une stabilité suffisante entre les os. À l’inverse, certaines lésions provoquent une véritable instabilité, perturbant l’articulation.

Le traitement vise donc à corriger cette instabilité, plus qu’à traiter la rupture elle-même. Certaines distensions ligamentaires, même sans rupture complète, peuvent déstabiliser l’articulation. Cette instabilité entraîne alors une usure progressive des cartilages, due aux mouvements anormaux.

Les lésions sont classées selon deux critères :

  • La localisation : certains ligaments sont essentiels, d’autres secondaires.
  • La gravité : bénigne, modérée ou grave, selon l’étendue des dégâts.

On dénombre aussi trois niveaux de gravité avec traitement associé :

  • Les formes bénignes : traitement orthopédique (attelle, plâtre).
  • Les formes modérées : traitement adapté selon l’âge et l’activité du patient.
  • Les formes graves : souvent chirurgicales, pour restaurer l’anatomie et la stabilité.

Localisation des lésions au niveau des différents ligaments du poignet.

Certaines lésions entrent clairement dans la catégorie des entorses du poignet :

  • Lésions radiocarpiennes
  • Lésions radio-ulnaires distales
  • Lésions intracarpiennes

D’autres atteintes, comme celles de la colonne du pouce proximal ou des ligaments carpo-métacarpiens, relèvent autant de la main que du poignet. Elles ne seront donc pas détaillées ici.

Lésions radiocarpiennes

Ces lésions touchent des ligaments très puissants, rarement rompus sauf en cas de traumatismes sévères (ex. : chute à haute vitesse, moto, cheval). Elles sont généralement évidentes au diagnostic et nécessitent une prise en charge en urgence.

Ces situations d’entorses s’accompagnent souvent de luxations du poignet. Le traitement repose sur une réduction rapide, suivie d’une stabilisation (chirurgicale ou par immobilisation plâtrée).

Des lésions radiocarpiennes plus légères peuvent provoquer des douleurs dues à des ruptures partielles sans luxation. Dans ce cas, un traitement orthopédique par plâtre est souvent suffisant.

entorse luxation rétro lunaire du carpe
Expulsion du semi lunaire sur une luxation rétro lunaire du carpe
Lésions de la radio-ulnaire distale

Ces lésions touchent les ligaments stabilisant le radius et l’ulna. Elles impliquent des atteintes des structures ligamentaires internes et externes, en particulier le complexe fibro-cartilagineux triangulaire (TFCC).

Les lésions de la radio-ulnaire distale provoquent des douleurs du bord interne du poignet, surtout lors des mouvements de prono-supination.
On distingue plusieurs types :

  • Perforation centrale du ligament triangulaire.
  • Désinsertion radiale ou ulnaire, partielle ou complète.
  • Atteinte du rideau ligamentaire ulno-carpien postérieur.

Le diagnostic repose sur des examens spécialisés comme l’arthroscanner ou l’arthroscopie.

luxation posterieure de la tête ulnaire poignet
luxation postérieure de la tête ulnaire
Les lésions intracarpiennes

Les lésions intracarpiennes sont les plus fréquentes. Elles sont souvent sous-diagnostiquées ou mal prises en charge.

Le ligament le plus concerné est le ligament scapho-lunaire. Sa rupture peut entraîner une déstabilisation du couple scapho-lunaire. Cette instabilité provoque des douleurs, une gêne fonctionnelle, et à terme une usure arthrosique sévère (collapsus carpien).

Un bilan complet par arthroscanner ou arthroscopie est indispensable dès la suspicion. En cas d’instabilité, une intervention chirurgicale rapide est recommandée pour traiter une lésion « fraîche » avant qu’elle ne devienne chronique.

entorse ligament poignet rupture
Diastasis important par rupture ligamentaire complète du ligament scapho lunaire
D’autres lésions intracarpiennes existent, notamment la rupture du ligament luno-triquétral. Son pronostic est généralement moins grave et nécessite moins souvent une chirurgie. Tous les ligaments du carpe peuvent être touchés. Toutefois, les lésions des ligaments autres que scapho-lunaire et luno-triquétral sont souvent moins préoccupantes.

Symptômes et diagnostic

Symptômes associés

Un patient présentant une entorse du poignet souffre généralement de douleurs, d’un gonflement (œdème) et d’une difficulté à mobiliser le poignet. La douleur est souvent importante, justifiant la mise en place d’une attelle pour limiter les mouvements.

La radiographie standard permet uniquement de vérifier la présence ou l’absence d’une fracture osseuse. Elle n’analyse pas correctement les structures ligamentaires. Seules certaines formes sévères, où l’on observe une dissociation (séparation) entre deux os, permettent d’affirmer la rupture d’un ligament.

entorse poignet main gonflée droite symptome
Gonflement du poignet droit par hémarthrose suite à un traumatisme

Tout patient présentant ces symptômes doit être examiné par un chirurgien de la main. L’examen clinique est complexe et peut nécessiter des examens complémentaires, souvent techniques et difficiles à réaliser.

Dans certains cas, le gonflement est tel que le patient ressent des fourmillements dans les doigts. Ces paresthésies traduisent une compression nerveuse secondaire.

Diagnostic clinique et examens complémentaires

En présence d’un poignet gonflé et douloureux, avec suspicion de lésion ligamentaire, un bilan radiographique doit être réalisé systématiquement :

  • Radiographies de face et de profil en position neutre.
  • Si possible, radiographies dynamiques.

Ce bilan permet de détecter une éventuelle fracture associée. Il peut aussi révéler un écartement anormal entre deux os, signe d’une rupture ligamentaire lorsqu’il est unilatéral.

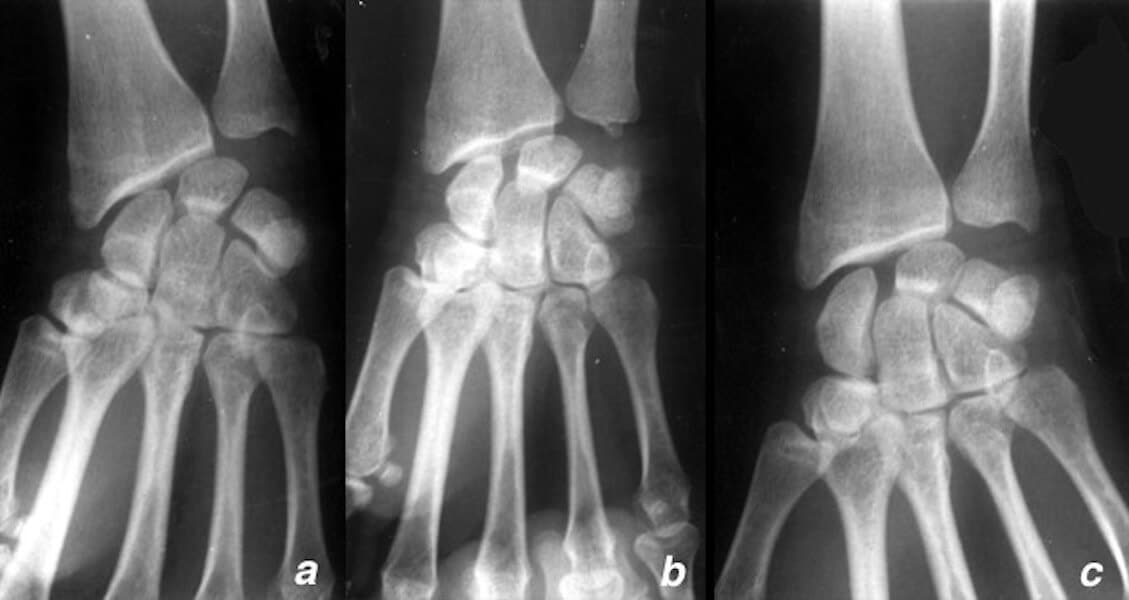
radiographie poignet entorse
Examen radiographique dynamique démasquant l'écart entre scaphoïde et semi lunaire sur les clichés B et C

Cependant, dans la majorité des cas, les radiographies sont normales. Cela ne doit pas empêcher de poursuivre les investigations. L’examen de référence est l’arthroscanner, qui consiste à injecter un produit de contraste dans le poignet avant de réaliser un scanner. Cet examen offre une bonne visualisation des ligaments.

L’arthroscopie, plus invasive, n’est envisagée que si les examens précédents restent non concluants.

L’IRM, plus simple à réaliser que l’arthroscanner, est parfois utilisée. Toutefois, elle offre une analyse moins précise des structures ligamentaires.

Traitements de l’entorse du poignet

Traitement des entorses légères intracarpiennes

Lorsque le bilan clinique et les examens confirment une lésion ligamentaire sans gravité, la cicatrisation se fait généralement avec une simple immobilisation. Un plâtre ou une attelle est alors porté en continu pendant six semaines, durée classique pour la guérison d’un ligament lésé.

Après ce délai, il est essentiel de réassouplir le poignet. La reprise des mouvements se fait progressivement, en fonction de la disparition des douleurs.

Le gonflement initial peut être réduit par l’application de glace, combinée au port de l’attelle et à la prise d’anti-inflammatoires. Si la douleur persiste malgré l’immobilisation, des antalgiques peuvent être prescrits.

Les entorses graves correspondent à des ruptures ligamentaires partielles ou totales. Elles dépassent le stade des simples contusions. Si la rupture est partielle et sans déstabilisation du carpe, un traitement orthopédique avec immobilisation de six semaines peut suffire.

En cas de rupture complète ou d’instabilité des os du carpe, une intervention chirurgicale devient nécessaire. Elle vise à rapprocher les os et à reconstruire les ligaments.

Après la chirurgie, une immobilisation par plâtre ou par brochage est mise en place pour six semaines. Ces traitements sont souvent lourds, provoquent des raideurs, et leurs résultats peuvent être imparfaits.

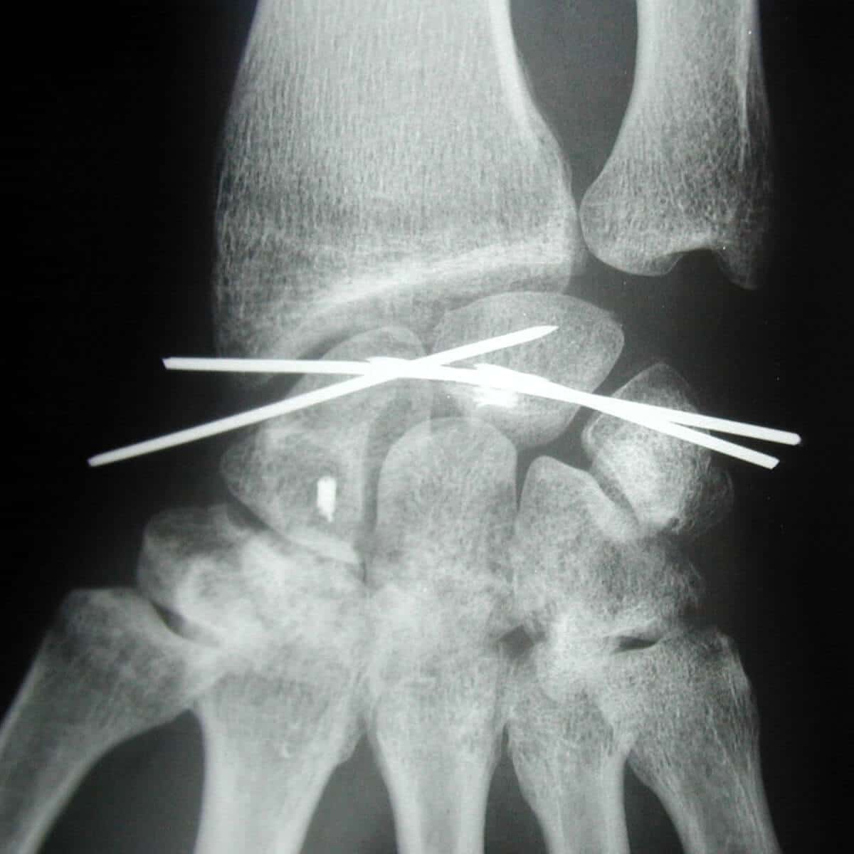
operation chirurgicale entorse au poignet grave
Entorse grave opérée par embrochage multiple scapho lunarien

Traitement des formes anciennes intracarpiennes

De nombreuses lésions, notamment celles du ligament scapho-lunaire, sont mal diagnostiquées au départ. Sans prise en charge adaptée, elles évoluent vers des complications.

Au-delà de six semaines, la lésion devient chronique. La réparation chirurgicale reste indispensable, mais elle est plus difficile et ses résultats sont incertains.

Certains patients consultent après une nouvelle chute banale, qui révèle une ancienne lésion passée inaperçue. Le poignet devient alors douloureux, gonflé et inflammatoire, de façon disproportionnée par rapport au traumatisme.

Le bilan radiographique montre souvent une arthrose sévère, conséquence d’un collapsus carpien lié à la déstabilisation initiale.

L’arthrose progresse selon un schéma classique :

  • D’abord au niveau stylo-scaphoïdien (bord externe du poignet).
  • Puis vers une atteinte plus large du médiocarpien.

Ces arthroses sont douloureuses, entraînent des raideurs et deviennent progressivement handicapantes.

Au stade de « SLAC wrist » (collapsus carpien), le traitement est uniquement palliatif. Il consiste à réaliser des arthrodèses partielles, c’est-à-dire bloquer certaines articulations détruites. Cela réduit la mobilité, mais soulage les douleurs et stabilise la situation.

Collapsus carpien par arthrose sévère secondaire à une lésion grave scapho lunaire

Traitement des lésions radio-ulnaires distales (TFCC)

Les lésions du complexe fibro-cartilagineux triangulaire (TFCC) font partie des entorses du poignet, mais elles diffèrent des lésions intracarpiennes.

Elles touchent les stabilisateurs de l’articulation radio-ulnaire distale, qui relie le radius à l’ulna. Selon leur gravité, elles peuvent nécessiter une réparation chirurgicale.

Ces lésions provoquent des douleurs du bord interne du poignet, avec une gêne lors des mouvements de prono-supination et d’inclinaison radiale ou ulnaire.

Un arthroscanner permet d’identifier précisément le type de lésion et d’adapter le traitement. La réparation peut se faire par chirurgie ouverte ou par arthroscopie, mais reste techniquement complexe.

Après l’intervention, une immobilisation de six semaines, prenant le poignet et le coude, est nécessaire. La rééducation est souvent longue et parfois difficile.

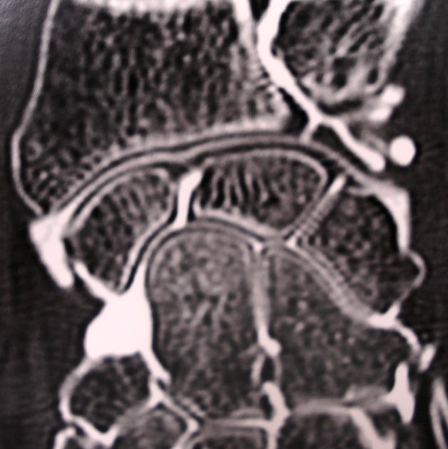
Arthroscanner perforation ligament triangulaire poignet
Arthroscanner montrant bien la perforation complète du ligament triangulaire

Rééducation post-traitement

Quelle que soit l’entorse du poignet, l’immobilisation de six semaines peut entraîner une raideur résiduelle du poignet.

La rééducation vise à restaurer la mobilité. Elle sera plus ou moins longue selon l’importance de la raideur :

  • Les formes bénignes récupèrent rapidement.
  • Les formes sévères, surtout après chirurgie, nécessitent un suivi prolongé.

Temps de récupération et complications

Durée de guérison selon la gravité de l’entorse

Certaines entorses bénignes peuvent guérir en quelques semaines avec une simple immobilisation antalgique.

Cependant, dans la majorité des cas, il est nécessaire de respecter six semaines d’immobilisation après une lésion ligamentaire du poignet. Ce délai est indispensable avant de pouvoir solliciter à nouveau les structures ligamentaires.

Pour les formes graves, notamment celles nécessitant une chirurgie, le temps de récupération est plus long. La rééducation ne débute qu’à partir de la sixième semaine, que ce soit après le traumatisme ou l’intervention.

Cette rééducation peut durer plusieurs mois avant de retrouver un poignet souple et indolore.

Complications possibles

Les complications des lésions ligamentaires du poignet sont fréquentes. Cela s’explique par un diagnostic initial souvent négligé ou sous-estimé.

En cas de traitement inadapté, les complications deviennent non seulement fréquentes mais aussi importantes. Elles peuvent évoluer vers une arthrose sévère du poignet, apparaissant quelques années après le traumatisme.

Dans ces situations, le traitement de l’arthrose est uniquement palliatif. Il impose souvent un blocage chirurgical partiel ou total du poignet afin de soulager les douleurs et stabiliser l’articulation.

complication entorse du poignee temps de guerison
Collapsus carpien arthrosique d'une entorse scapho lunaire avec perforation secondaire du ligament triangulaire

Prévention et conseils

Conseils pour limiter le risque d’entorse du poignet

Il n’existe pas de technique parfaite pour éliminer totalement le risque d’entorse. Seules des précautions, dans le cadre sportif et dans la vie quotidienne, permettent de limiter ce risque en évitant les chutes.

Il est donc recommandé d’éviter toute pratique sportive à vitesse excessive, surtout sans un contrôle technique adapté. De même, il faut être vigilant lors de situations à risque, comme les travaux en hauteur, en s’assurant d’être correctement installé, avec une échelle stable ou un système d’assurage.

Idéalement, il faudrait savoir chuter sans tomber sur les poignets, en utilisant des techniques comme celles enseignées au judo. Mais dans la vie courante, cela reste utopique.

Le renforcement musculaire ne protège quasiment pas contre les lésions ligamentaires du poignet. Il ne peut donc être considéré comme un moyen de prévention efficace.

Importance de la prudence dans les activités sportives et professionnelles

Tout au long de la vie, il est essentiel de prévenir les chutes. Cela passe par un bon chaussage, l’évitement des situations à risque (verglas, pratiques sportives inadaptées), la limitation de la vitesse, et l’utilisation de protections adaptées au travail.

Il est aussi important de bien préparer ses activités de bricolage : utiliser un outillage de qualité et sécuriser correctement les travaux en hauteur.

Le port de protections de poignets et de gants est indispensable pour certaines activités comme la moto, le scooter, le roller ou le snowboard. Ces équipements ont pour but de transformer l’impact en glissement, limitant ainsi les traumatismes directs sur le poignet.

prevention entorse au poignet

Arrêt de travail et maladie professionnelle

La durée de l’arrêt de travail après une entorse du poignet varie fortement en fonction de la sévérité de la lésion. Elle peut aller de quelques jours à plusieurs mois. Seul un médecin spécialiste est en mesure de définir la durée d’arrêt adaptée à chaque cas.

Le terme « entorse du poignet » est trop général et imprécis. Il recouvre une large diversité de lésions. Certaines entorses ne sont que de simples contusions bénignes, avec un bon pronostic et une récupération rapide.

D’autres, en revanche, correspondent à des étirements sévères. Ces lésions ligamentaires importantes nécessitent parfois une chirurgie complexe, suivie d’une longue immobilisation et d’un temps de récupération prolongé.

Il en est de même pour la durée des arrêts de travail, qui doit être adaptée à la gravité réelle de la lésion.

Reconnaissance en maladie professionnelle

Les entorses du poignet peuvent être reconnues comme un accident de travail, mais ne relèvent pas de la maladie professionnelle.

L’accident est défini par la date précise du traumatisme. Cette date doit figurer sur tous les documents médicaux et administratifs ultérieurs.

Il n’existe pas de profession exposant, à long terme, à un risque d’entorse du poignet. En revanche, certaines lésions ligamentaires (qui ne relèvent pas de la définition classique de l’entorse) peuvent apparaître progressivement par usure, notamment au niveau du complexe fibro-cartilagineux triangulaire (TFCC).

Dans certains métiers, ces atteintes peuvent être reconnues comme maladie professionnelle, mais uniquement après validation par des médecins agréés.

entorse poignet arret de travail

Reprise et aménagements du travail

Après une entorse grave du poignet nécessitant une chirurgie complexe et une immobilisation prolongée, la reprise professionnelle doit être envisagée avec prudence.

Une reprise progressive peut être recommandée. Il est également possible de demander des aménagements de poste si la situation l’exige, afin de limiter les contraintes sur le poignet durant la période de récupération.

entorse au poignet duree reprise travail